Kiến thức

NHA KHOA CỐNG QUỲNH - 256 Cống Quỳnh, Phường Bến Thành, TP.HCM
Hotline: 0908 848 424

Tẩy trắng răng đầu năm: nâng diện mạo mà không cần chỉnh sửa gì

Tẩy trắng răng đầu năm: nâng diện mạo mà không cần chỉnh sửa gì

Bước sang năm mới, nhiều người mong muốn làm mới bản thân theo cách nhẹ nhàng nhưng vẫn tạo được sự khác biệt.
Xem chi tiết

Dân văn phòng đón Tết với nụ cười sáng chỉ sau 1 buổi

Dân văn phòng đón Tết với nụ cười sáng chỉ sau 1 buổi

Cuối năm là thời điểm dân văn phòng bận rộn hơn bao giờ hết. Tổng kết công việc, gặp gỡ đối tác, tiệc tất niên, chụp ảnh kỷ niệm
Xem chi tiết

Tẩy trắng răng đón tết - Răng trắng sáng, Tài lộc vào nhà

Tẩy trắng răng đón tết - Răng trắng sáng, Tài lộc vào nhà

Tết không chỉ là thời điểm sum họp, gặp gỡ người thân, bạn bè mà còn là dịp mỗi người muốn xuất hiện với diện mạo chỉn chu và tự tin nhất.
Xem chi tiết

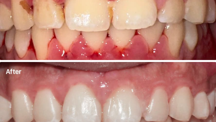
So sánh tẩy trắng răng tại phòng khám và tại nhà

So sánh tẩy trắng răng tại phòng khám và tại nhà

Tẩy trắng trắng răng là phương pháp được nhiều người lựa chọn khi mong muốn nụ cười sáng hơn, rạng rỡ hơn. Hiện nay có hai cách phổ biến nhất: làm trắng răng tại phòng khám và làm trắng răng tại nhà.
Xem chi tiết

Làm trắng răng có an toàn không? Ai nên – ai không nên?

Làm trắng răng có an toàn không? Ai nên – ai không nên?

Làm trắng răng là một trong những dịch vụ nha khoa thẩm mỹ được nhiều người quan tâm, đặc biệt với những ai mong muốn cải thiện nụ cười nhanh chóng.
Xem chi tiết

Hướng dẫn sử dụng an toàn Tẩy trắng răng tại nhà bằng máng

Hướng dẫn sử dụng an toàn Tẩy trắng răng tại nhà bằng máng

Bên cạnh phương pháp tẩy trắng răng tại phòng nha, tẩy trắng răng tại nhà bằng máng là giải pháp được nhiều người lựa chọn nhờ sự tiện lợi và chủ động về thời gian
Xem chi tiết

Tẩy trắng răng tại phòng nha bằng đèn Plasma: Có hiệu quả không?

Tẩy trắng răng tại phòng nha bằng đèn Plasma: Có hiệu quả không?

Trong những năm gần đây, tẩy trắng răng chuyên nghiệp tại phòng nha bằng đèn Plasma trở thành chủ đề được nhiều người quan tâm khi mong muốn làm sáng răng nhanh chóng và an toàn
Xem chi tiết

Niềng răng cho trẻ em – độ tuổi vàng để chỉnh nha hiệu quả nhất

Niềng răng cho trẻ em – độ tuổi vàng để chỉnh nha hiệu quả nhất

Niềng răng cho trẻ em không chỉ nhằm mục đích thẩm mỹ mà còn đóng vai trò quan trọng trong việc định hướng sự phát triển của răng và xương hàm.
Xem chi tiết

Implant Mỹ và Implant châu Âu: Khác nhau như thế nào và nên chọn loại nào?

Implant Mỹ và Implant châu Âu: Khác nhau như thế nào và nên chọn loại nào?

Khi tìm hiểu trồng răng Implant, rất nhiều khách hàng phân vân giữa Implant Mỹ và Implant châu Âu vì cả hai đều được đánh giá cao về chất lượng, độ bền và khả năng phục hồi ăn nhai lâu dài
Xem chi tiết

Công nghệ Implant Mỹ – Lựa chọn an toàn cho người lớn tuổi và bệnh lý nền

Công nghệ Implant Mỹ – Lựa chọn an toàn cho người lớn tuổi và bệnh lý nền

Đối với người lớn tuổi hoặc khách hàng có bệnh lý nền như tiểu đường, tim mạch, huyết áp, việc phục hồi răng mất bằng trồng răng Implant đòi hỏi tiêu chí an toàn được đặt lên hàng đầu.
Xem chi tiết

Có nên chọn Implant Mỹ khi cần phục hồi răng mất? Ưu điểm, độ bền, khả năng tích hợp xương

Có nên chọn Implant Mỹ khi cần phục hồi răng mất? Ưu điểm, độ bền, khả năng tích hợp xương

Không ít người vẫn băn khoăn có nên chọn Implant Mỹ khi cần phục hồi răng mất hay không, và dòng Implant này có thực sự phù hợp với tình trạng răng miệng của mình.
Xem chi tiết

Implant Pháp – Chi phí ưu đãi: Giải pháp tiết kiệm chi phí cho khách hàng

Implant Pháp – Chi phí ưu đãi: Giải pháp tiết kiệm chi phí cho khách hàng

Trong điều trị mất răng hiện nay, trồng răng Implant là giải pháp phục hình tối ưu nhờ khả năng ăn nhai chắc chắn và độ bền lâu dài.
Xem chi tiết

Implant Pháp: Sự lựa chọn vừa túi tiền nhưng vẫn đảm bảo an toàn và độ bền

Implant Pháp: Sự lựa chọn vừa túi tiền nhưng vẫn đảm bảo an toàn và độ bền

Trong điều trị mất răng bằng trồng răng Implant, không phải khách hàng nào cũng cần lựa chọn dòng Implant cao cấp nhất.
Xem chi tiết

Hệ thống Implant Thụy Sĩ và khả năng tích hợp xương nổi bật

Hệ thống Implant Thụy Sĩ và khả năng tích hợp xương nổi bật

Điều gì giúp Implant Thụy Sĩ sở hữu khả năng tích hợp xương vượt trội so với nhiều dòng Implant khác?
Xem chi tiết

Implant SIC phù hợp với ai? Những trường hợp bác sĩ ưu tiên lựa chọn

Implant SIC phù hợp với ai? Những trường hợp bác sĩ ưu tiên lựa chọn

Trong các dòng trồng răng Implant cao cấp, Implant SIC đến từ Thụy Sĩ được nhiều chuyên gia đánh giá cao nhờ độ ổn định, khả năng tích hợp xương tốt và tuổi thọ lâu dài.
Xem chi tiết

Lý do Implant Thụy Sĩ được chuyên gia đánh giá là một trong những hệ trụ bền nhất thế giới

Lý do Implant Thụy Sĩ được chuyên gia đánh giá là một trong những hệ trụ bền nhất thế giới

Trong lĩnh vực trồng răng Implant, nguồn gốc và chất lượng hệ trụ đóng vai trò quyết định đến độ bền, khả năng tích hợp xương và tuổi thọ phục hình.
Xem chi tiết

Làm răng sứ có bền không? Bao lâu phải thay mới?

Làm răng sứ có bền không? Bao lâu phải thay mới?

Làm răng sứ có bền không và bao lâu phải thay mới là câu hỏi được rất nhiều người quan tâm trước khi quyết định phục hình răng.
Xem chi tiết

Top nha khoa trung tâm Quận 1 chuyên Implant & răng sứ thẩm mỹ

Top nha khoa trung tâm Quận 1 chuyên Implant & răng sứ thẩm mỹ

Implant và răng sứ thẩm mỹ là hai dịch vụ nha khoa đòi hỏi kỹ thuật cao và kinh nghiệm chuyên sâu.
Xem chi tiết

Nha khoa Quận 1 có máy scan iTero – Công nghệ chỉnh nha Invisalign hiện đại

Nha khoa Quận 1 có máy scan iTero – Công nghệ chỉnh nha Invisalign hiện đại

Quận 1 là khu vực trung tâm TP.HCM, nơi tập trung nhiều nha khoa đầu tư công nghệ chỉnh nha hiện đại.
Xem chi tiết

Phục hình tháo lắp cho người cao tuổi: Giải pháp tiết kiệm và hiệu quả

Phục hình tháo lắp cho người cao tuổi: Giải pháp tiết kiệm và hiệu quả

Khi bước vào độ tuổi trung niên và cao tuổi, tình trạng mất răng xảy ra phổ biến, ảnh hưởng trực tiếp đến khả năng ăn nhai, giao tiếp và sức khỏe tổng thể.
Xem chi tiết
Zalo
Zalo
Viber
Viber
Facebook
Facebook
Chỉ đường
Hotline