Chữa răng

NHA KHOA CỐNG QUỲNH - 256 Cống Quỳnh, Phường Bến Thành, TP.HCM
Hotline: 0908 848 424

Chữa tủy răng trám MTA tại Quận 1 - Phương pháp điều trị tủy hiện đại

Chữa tủy răng trám MTA tại Quận 1 - Phương pháp điều trị tủy hiện đại

Quận 1 là trung tâm nha khoa chất lượng cao, nơi các phương pháp điều trị tủy hiện đại như trám MTA được ứng dụng rộng rãi.
Xem chi tiết

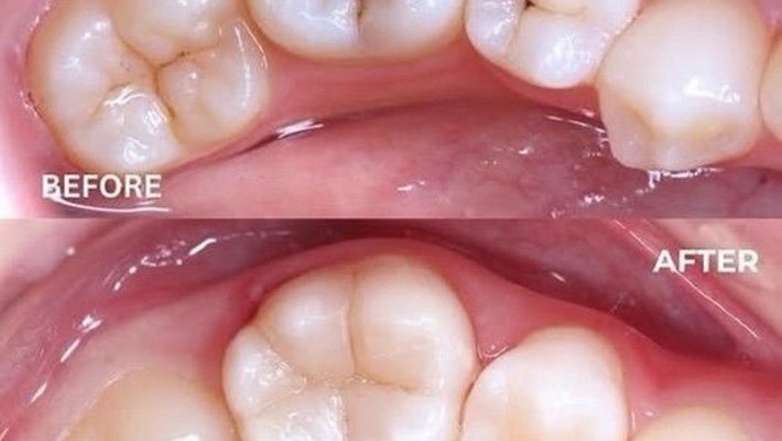
Chữa tủy răng sau tại Quận 1 - Điều trị tủy răng hàm

Chữa tủy răng sau tại Quận 1 - Điều trị tủy răng hàm

Quận 1 là khu vực trung tâm với hệ thống nha khoa phát triển mạnh, quy tụ nhiều phòng khám uy tín, trang thiết bị hiện đại và bác sĩ giàu kinh nghiệm.
Xem chi tiết

Chữa tủy răng trước tại trung tâm Quận 1 -  Điều trị tủy răng cửa

Chữa tủy răng trước tại trung tâm Quận 1 - Điều trị tủy răng cửa

Quận 1 là khu vực trung tâm, tập trung nhiều phòng khám nha khoa uy tín, nơi hội tụ đội ngũ bác sĩ giàu kinh nghiệm và công nghệ điều trị hiện đại.
Xem chi tiết

Trám Composite/GIC + Chốt tái tạo tại Q1

Trám Composite/GIC + Chốt tái tạo tại Q1

Quận 1 là khu vực tập trung nhiều phòng khám nha khoa uy tín với công nghệ hiện đại và đội ngũ bác sĩ giàu kinh nghiệm.
Xem chi tiết

Trám Cement GIC Quận 1 – Phương pháp trám răng phổ biến

Trám Cement GIC Quận 1 – Phương pháp trám răng phổ biến

Trám răng bằng Cement GIC là phương pháp phục hồi răng được sử dụng rộng rãi nhờ tính an toàn, khả năng giải phóng fluoride và chi phí hợp lý.
Xem chi tiết

Veneer Composite tại Quận 1 – Giải pháp thẩm mỹ răng nhanh

Veneer Composite tại Quận 1 – Giải pháp thẩm mỹ răng nhanh

Quận 1 là khu vực trung tâm với nhiều nha khoa thẩm mỹ, trong đó Nha Khoa Cống Quỳnh là địa chỉ được nhiều khách hàng lựa chọn khi cần cải thiện nụ cười nhanh chóng.
Xem chi tiết

Trám Composite Quận 1 – Phục hồi răng sâu thẩm mỹ

Trám Composite Quận 1 – Phục hồi răng sâu thẩm mỹ

Quận 1 là khu vực trung tâm TP.HCM, nơi tập trung nhiều phòng khám nha khoa lớn nhỏ.
Xem chi tiết

Các câu hỏi thường gặp về nha khoa trẻ em?

Các câu hỏi thường gặp về nha khoa trẻ em?

Nha khoa trẻ em luôn là mối quan tâm lớn của nhiều phụ huynh khi chăm sóc sức khỏe răng miệng cho con.
Xem chi tiết

Các câu hỏi thường gặp về Veneer?

Các câu hỏi thường gặp về Veneer?

Veneer là phương pháp phục hình răng thẩm mỹ được nhiều người lựa chọn nhờ khả năng cải thiện nụ cười tự nhiên.
Xem chi tiết

Trám răng bằng Composite hay GIC – Loại nào phù hợp với bạn?

Trám răng bằng Composite hay GIC – Loại nào phù hợp với bạn?

Trám răng là phương pháp phục hồi răng sâu, mẻ hoặc tổn thương men răng phổ biến hiện nay.
Xem chi tiết

Các câu hỏi thường gặp về chữa tủy răng?

Các câu hỏi thường gặp về chữa tủy răng?

Chữa tủy răng là phương pháp điều trị giúp bảo tồn răng thật khi phần tuỷ bên trong bị viêm hoặc hoại tử.
Xem chi tiết

Các câu hỏi thường gặp về trám răng?

Các câu hỏi thường gặp về trám răng?

Trám răng là giải pháp phổ biến giúp phục hồi răng sâu, mẻ và cải thiện chức năng ăn nhai.
Xem chi tiết

Các câu hỏi thường gặp về chữa răng?

Các câu hỏi thường gặp về chữa răng?

Chữa răng giúp khắc phục các vấn đề răng miệng phổ biến như sâu răng, đau nhức hay viêm nhiễm.
Xem chi tiết

Trám răng thẩm mỹ cho người lớn: Có nên thực hiện không?

Trám răng thẩm mỹ cho người lớn: Có nên thực hiện không?

Trám răng thẩm mỹ là phương pháp giúp khôi phục hình dáng và màu sắc của răng bị sứt, mẻ, sâu hoặc xỉn màu.
Xem chi tiết

Chữa tủy răng có đau không? Quy trình điều trị tại Nha Khoa Cống Quỳnh

Chữa tủy răng có đau không? Quy trình điều trị tại Nha Khoa Cống Quỳnh

Chữa tủy răng là một trong những phương pháp nha khoa giúp bảo tồn răng thật, ngăn ngừa viêm nhiễm lan rộng.
Xem chi tiết

Chữa sâu răng bằng trám Composite: Quy trình và chi phí mới nhất

Chữa sâu răng bằng trám Composite: Quy trình và chi phí mới nhất

Sâu răng là một trong những bệnh lý phổ biến nhất trong nha khoa, gây ảnh hưởng trực tiếp đến chức năng ăn nhai và thẩm mỹ nụ cười.
Xem chi tiết
Zalo
Zalo
Viber
Viber
Facebook
Facebook
Chỉ đường
Hotline