Thời gian hoạt động
-
Thứ 2 - Thứ 7: 08:00 - 19:30 | Chủ nhật: OFF
Răng sứ khung sườn Au‑Pt là dòng răng sứ cao cấp, sử dụng hợp kim quý gồm vàng (Au) và bạch kim (Pt) làm lõi, phủ ngoài lớp sứ thẩm mỹ. Đây là lựa chọn lý tưởng cho khách hàng trung niên hoặc người có nhu cầu phục hình răng bền chắc, an toàn và thẩm mỹ vượt trội.
Khung sườn: Hợp kim vàng – bạch kim, có độ bền cao, chống ăn mòn và tương thích sinh học tốt.
Lớp sứ phủ ngoài: Sáng bóng, tự nhiên, mô phỏng hình dáng và màu sắc răng thật.
Kết nối: Gắn cố định lên răng thật hoặc trụ Implant, đảm bảo độ ổn định lâu dài.

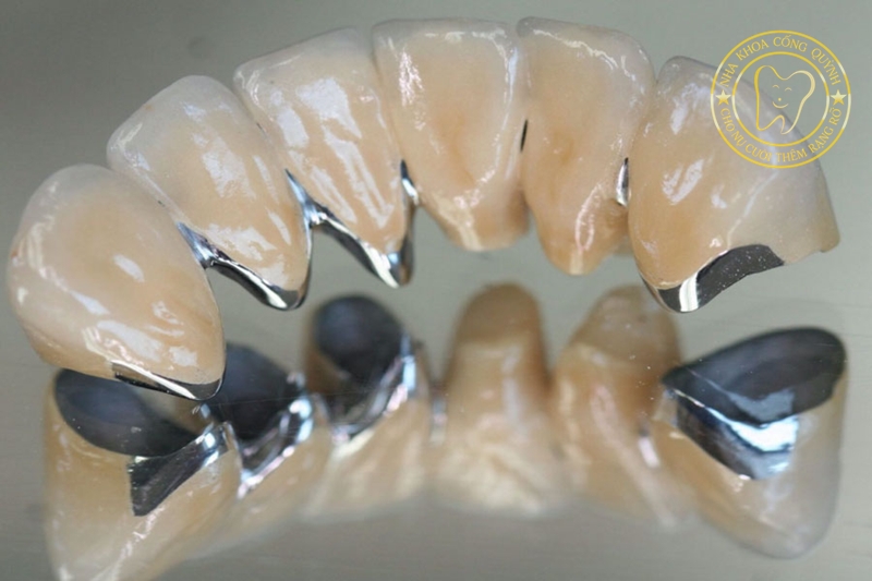
Hình - Răng sứ lõi bạch kim (Pt)
Thẩm mỹ cao: Không bị đen viền nướu như răng sứ kim loại thường.
An toàn sinh học: Ít gây kích ứng, phù hợp với người có cơ địa nhạy cảm.
Độ bền vượt trội: Tuổi thọ có thể trên 15 năm nếu chăm sóc đúng cách.
Phù hợp nhiều vị trí: Có thể sử dụng cho răng cửa, răng hàm hoặc phục hình trên Implant.
Thăm khám và chụp phim kiểm tra tình trạng răng.
Mài răng nhẹ nhàng, lấy dấu bằng công nghệ kỹ thuật số.
Lựa chọn màu sắc và hình dáng răng sứ phù hợp.
Gắn thử và điều chỉnh, sau đó cố định bằng keo chuyên dụng.
Hướng dẫn chăm sóc và tái khám định kỳ.

Hình - Răng sứ lõi Vàng (Au)
Người trung niên muốn phục hình răng mất với độ bền cao.
Khách hàng có cơ địa nhạy cảm với kim loại thường.
Người cần phục hình răng thẩm mỹ nhưng vẫn đảm bảo chức năng ăn nhai.
Sử dụng răng sứ Au‑Pt chính hãng, kiểm định rõ nguồn gốc.
Bác sĩ chuyên môn cao, nhiều năm kinh nghiệm phục hình thẩm mỹ.
Quy trình vô trùng, chuẩn y khoa, bảo hành rõ ràng.

CÔNG TY TNHH NHA KHOA CỐNG QUỲNH
Địa chỉ: 256 Cống Quỳnh, Phường Bến Thành (Q1), TP.HCM
Email: nhakhoacongquynh@gmail.com
ĐT: +84 (028) 3925 7062
Hotline: +84 0908.848.424
Website: www.nhakhoacongquynh.com
Phòng Chăm Sóc Khách Hàng
Email: nhakhoacongquynh.cskh@gmail.com
ĐT: +84 0856.244.256