Kiến thức

NHA KHOA CỐNG QUỲNH - 256 Cống Quỳnh, Phường Bến Thành, TP.HCM
Hotline: 0908 848 424

Khách từ Mỹ, Úc, Canada tin chọn Nha Khoa Cống Quỳnh

Khách từ Mỹ, Úc, Canada tin chọn Nha Khoa Cống Quỳnh

Trong những năm gần đây, xu hướng khách Việt kiều và khách quốc tế về Việt Nam để điều trị nha khoa ngày càng phổ biến. Không chỉ vì yếu tố chi phí, mà còn bởi chất lượng điều trị và sự thuận tiện trong quá trình chăm sóc.
Xem chi tiết

Nha khoa Quận 1 Dịch vụ toàn diện từ tổng quát đến chuyên sâu

Nha khoa Quận 1 Dịch vụ toàn diện từ tổng quát đến chuyên sâu

Việc lựa chọn một phòng khám có thể đáp ứng đầy đủ nhu cầu từ chăm sóc cơ bản đến điều trị chuyên sâu giúp khách hàng tiết kiệm thời gian và đảm bảo tính đồng bộ trong quá trình điều trị.
Xem chi tiết

Nhổ răng khôn bằng sóng siêu âm – ít đau, nhanh lành

Nhổ răng khôn bằng sóng siêu âm – ít đau, nhanh lành

Nỗi lo “đau và sưng” khiến nhiều khách hàng trì hoãn việc nhổ răng khôn, đặc biệt là những trường hợp răng mọc lệch hoặc mọc ngầm.
Xem chi tiết

Răng khôn mọc lệch đâm má – xử lý thế nào?

Răng khôn mọc lệch đâm má – xử lý thế nào?

Răng khôn mọc lệch là tình trạng khá phổ biến, đặc biệt khi cung hàm không đủ chỗ cho răng phát triển.
Xem chi tiết

Nhổ răng khôn bao lâu thì lành? Cách giảm đau nhanh nhất

Nhổ răng khôn bao lâu thì lành? Cách giảm đau nhanh nhất

Nhổ răng khôn là thủ thuật phổ biến nhưng nhiều khách hàng vẫn lo lắng về thời gian hồi phục và cảm giác đau sau khi thực hiện.
Xem chi tiết

Nhổ răng khôn có nguy hiểm không? Nên nhổ ở đâu để an toàn?

Nhổ răng khôn có nguy hiểm không? Nên nhổ ở đâu để an toàn?

Răng khôn là chiếc răng mọc muộn nhất trên cung hàm, thường xuất hiện ở độ tuổi trưởng thành. Không ít trường hợp răng khôn gây đau, viêm hoặc mọc lệch, buộc phải nhổ bỏ.
Xem chi tiết

Chỉ 60 phút tẩy trắng: "Độ lại" nụ cười, nâng tầm thần thái

Chỉ 60 phút tẩy trắng: "Độ lại" nụ cười, nâng tầm thần thái

Trong nhịp sống hiện đại, đôi khi bạn chỉ cần một thay đổi nhỏ để tạo nên bước ngoặt lớn trong giao tiếp.
Xem chi tiết

Giáo viên, MC, người giao tiếp nhiều nên tẩy trắng răng

Giáo viên, MC, người giao tiếp nhiều nên tẩy trắng răng

Với những ngành nghề đặc thù như Giáo viên, MC hay những người thường xuyên phải Giao tiếp trước đám đông, nụ cười chính là công cụ truyền tải thông điệp và cảm hứng quan trọng nhất
Xem chi tiết

Đi tiệc – gặp đối tác – họp đầu năm: răng trắng giúp bạn ghi điểm

Đi tiệc – gặp đối tác – họp đầu năm: răng trắng giúp bạn ghi điểm

Đầu năm là thời điểm của những buổi tiệc, những cuộc gặp gỡ và những cơ hội mới. Trong mọi tình huống giao tiếp, nụ cười trắng sáng chính là “vũ khí mềm” giúp bạn tạo thiện cảm và ghi điểm ngay từ ánh nhìn đầu tiên.
Xem chi tiết

Làm đẹp đầu năm cho người bận rộn: tẩy trắng răng nhanh – an toàn

Làm đẹp đầu năm cho người bận rộn: tẩy trắng răng nhanh – an toàn

Nhịp sống đầu năm thường rất bận rộn với công việc, gặp gỡ đối tác và các kế hoạch mới. Không phải ai cũng có thời gian để thay đổi diện mạo một cách toàn diện.
Xem chi tiết

Sales – tư vấn – dịch vụ: răng trắng là “vũ khí mềm”

Sales – tư vấn – dịch vụ: răng trắng là “vũ khí mềm”

Những ngày đầu năm là thời điểm nhiều cuộc gặp gỡ, ký kết và mở rộng mối quan hệ diễn ra. Đối với những người làm sales, tư vấn hay dịch vụ, ấn tượng ban đầu không chỉ đến từ trang phục hay cách nói chuyện mà còn nằm ở nụ cười.
Xem chi tiết

Răng sứ có bị xỉn màu theo thời gian không? Cách giữ răng trắng lâu

Răng sứ có bị xỉn màu theo thời gian không? Cách giữ răng trắng lâu

Răng sứ là giải pháp thẩm mỹ được nhiều khách hàng lựa chọn để cải thiện nụ cười. Tuy nhiên, một trong những băn khoăn phổ biến là răng sứ có bị xỉn màu theo thời gian không và làm thế nào để giữ được màu sắc trắng sáng lâu dài.
Xem chi tiết

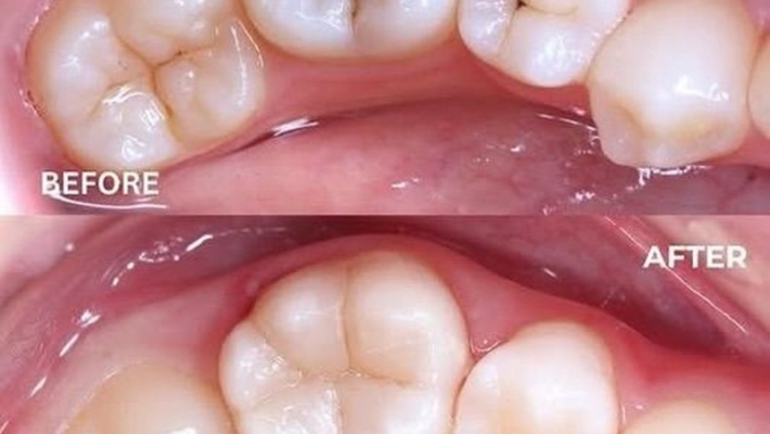
Tiểu phẫu cắt lợi trùm Quận 1 tại Nha Khoa Cống Quỳnh – Điều trị răng khôn mọc lệch

Tiểu phẫu cắt lợi trùm Quận 1 tại Nha Khoa Cống Quỳnh – Điều trị răng khôn mọc lệch

Tiểu phẫu cắt lợi trùm là giải pháp hiệu quả giúp xử lý tình trạng răng khôn mọc lệch gây đau nhức, viêm nhiễm.
Xem chi tiết

Tiểu phẫu cắt chóp trám ngược Quận 1 tại Nha Khoa Cống Quỳnh

Tiểu phẫu cắt chóp trám ngược Quận 1 tại Nha Khoa Cống Quỳnh

Tiểu phẫu cắt chóp trám ngược là giải pháp tối ưu giúp xử lý triệt để các tình trạng viêm nhiễm vùng chóp răng mà điều trị nội nha thông thường không hiệu quả.
Xem chi tiết

Nhổ răng tiểu phẫu Quận 1 tại Nha Khoa Cống Quỳnh – Nhổ răng phức tạp

Nhổ răng tiểu phẫu Quận 1 tại Nha Khoa Cống Quỳnh – Nhổ răng phức tạp

Quận 1 là khu vực tập trung nhiều phòng khám nha khoa chất lượng cao, trong đó Nha Khoa Cống Quỳnh nổi bật với dịch vụ nhổ răng tiểu phẫu chuyên sâu cho các ca khó.
Xem chi tiết

Hướng dẫn sử dụng máng tẩy trắng

Hướng dẫn sử dụng máng tẩy trắng

Quận 1 là khu vực tập trung nhiều phòng khám nha khoa chất lượng, trong đó Nha Khoa Cống Quỳnh được nhiều khách hàng lựa chọn khi có nhu cầu tẩy trắng răng bằng máng.
Xem chi tiết

Tẩy trắng răng kết hợp tại Quận 1 – Duy trì răng trắng lâu

Tẩy trắng răng kết hợp tại Quận 1 – Duy trì răng trắng lâu

Quận 1 là khu vực tập trung nhiều phòng khám nha khoa chất lượng cao tại TP.HCM. Trong đó, Nha Khoa Cống Quỳnh nổi bật với dịch vụ tẩy trắng răng kết hợp giúp nâng tone răng rõ rệt, an toàn và duy trì hiệu quả lâu dài.
Xem chi tiết

Niềng răng Invisalign – Giải pháp thẩm mỹ, chi phí hợp lý kèm quà tặng hi-tech

Niềng răng Invisalign – Giải pháp thẩm mỹ, chi phí hợp lý kèm quà tặng hi-tech

Niềng răng không còn là câu chuyện của mắc cài kim loại hay sự bất tiện kéo dài. Với sự phát triển của công nghệ chỉnh nha hiện đại,
Xem chi tiết

Vì sao đội ngũ bác sĩ lại quyết định chất lượng điều trị

Vì sao đội ngũ bác sĩ lại quyết định chất lượng điều trị

Trong lĩnh vực y tế nói chung và nha khoa nói riêng, Đội ngũ bác sĩ luôn là nhân tố cốt lõi, đóng vai trò 90% vào sự thành công của một ca điều trị.
Xem chi tiết

Tiêu chí đánh giá Nha khoa uy tín

Tiêu chí đánh giá Nha khoa uy tín

Việc lựa chọn một phòng khám nha khoa không chỉ ảnh hưởng đến kết quả điều trị mà còn liên quan trực tiếp đến sự an toàn và sức khỏe lâu dài. Trước rất nhiều lựa chọn hiện nay, câu hỏi được nhiều người quan tâm là tiêu chí nào để đánh giá một nha khoa uy tín.
Xem chi tiết
Zalo
Zalo
Viber
Viber
Facebook
Facebook
Chỉ đường
Hotline