Thời gian hoạt động
-
Thứ 2 - Thứ 7: 08:00 - 19:30 | Chủ nhật: OFF
Răng sứ Au-Pt (vàng – bạch kim) là dòng răng sứ kim loại quý cao cấp, nổi bật với độ bền vượt trội và khả năng tương thích sinh học cao. Tuy nhiên, chi phí đầu tư lớn khiến nhiều người băn khoăn có nên lựa chọn hay không. Bài viết dưới đây sẽ phân tích chi tiết để giúp bạn đưa ra quyết định phù hợp.
Răng Sứ Au-Pt Là Gì?
Răng sứ Au-Pt là loại răng sứ kim loại quý, có phần khung sườn được chế tác từ hợp kim vàng (Au) và bạch kim (Pt), bên ngoài phủ một lớp sứ thẩm mỹ. Đây là vật liệu đã được sử dụng từ lâu trong nha khoa phục hình, đặc biệt phổ biến tại các quốc gia có yêu cầu cao về độ bền và độ an toàn sinh học.
Sự kết hợp giữa vàng và bạch kim giúp răng sứ Au-Pt đạt được độ ổn định cao trong môi trường khoang miệng, hạn chế tối đa tình trạng oxy hóa hay biến đổi vật liệu theo thời gian.

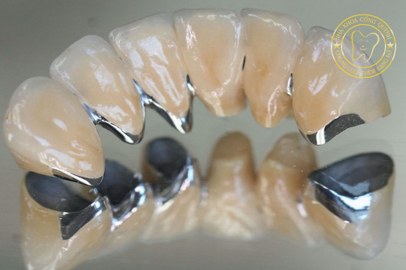
Cấu Tạo Và Đặc Điểm Nổi Bật Của Răng Sứ Au-Pt
Răng sứ Au-Pt có cấu tạo gồm hai phần chính:
- Khung sườn kim loại quý (Au-Pt): Có độ dẻo dai, chịu lực tốt và không bị ăn mòn trong môi trường miệng.
- Lớp sứ phủ bên ngoài: Tạo hình dáng và màu sắc giống răng thật, đảm bảo chức năng ăn nhai.
Nhờ thành phần kim loại quý, răng sứ Au-Pt có khả năng thích ứng rất tốt với nướu, giảm nguy cơ kích ứng và viêm nhiễm so với các dòng răng sứ kim loại thường.
Ưu Điểm Của Răng Sứ Au-Pt
Nhược Điểm Cần Cân Nhắc
Răng Sứ Au-Pt Dành Cho Ai?
Răng sứ Au-Pt phù hợp với những đối tượng sau:
- Người cần phục hình răng hàm, nơi yêu cầu cao về độ bền và lực nhai hơn là tính thẩm mỹ tuyệt đối.
- Người có cơ địa nhạy cảm, dễ kích ứng với kim loại thường.
- Người mong muốn một giải pháp phục hình lâu dài, ổn định, ít phải thay thế nhiều lần.
- Người có điều kiện tài chính tốt và ưu tiên yếu tố an toàn sinh học.
Ngược lại, nếu bạn cần phục hình răng cửa hoặc yêu cầu thẩm mỹ cao, các dòng răng toàn sứ có thể là lựa chọn phù hợp hơn.
Răng Sứ Au-Pt Có Đáng Đầu Tư Không?
Việc răng sứ Au-Pt có đáng đầu tư hay không phụ thuộc vào nhu cầu và mục tiêu sử dụng của mỗi người. Nếu bạn ưu tiên độ bền, sự ổn định lâu dài và an toàn cho sức khỏe răng miệng, răng sứ Au-Pt là một lựa chọn xứng đáng. Tuy nhiên, trong bối cảnh hiện nay, các dòng răng toàn sứ cao cấp đã phát triển mạnh mẽ, mang lại thẩm mỹ vượt trội với độ bền ngày càng cao.
Vì vậy, răng sứ Au-Pt đặc biệt phù hợp cho phục hình răng hàm hoặc các trường hợp cần giải pháp bền chắc lâu dài, hơn là mục tiêu thẩm mỹ toàn diện.

Răng sứ Au-Pt (vàng – bạch kim) là dòng răng sứ cao cấp, nổi bật về độ bền, khả năng tương thích sinh học và tuổi thọ dài lâu. Tuy chi phí đầu tư cao và tính thẩm mỹ không bằng răng toàn sứ, nhưng với những ai đề cao sự an toàn và ổn định, đây vẫn là lựa chọn đáng cân nhắc. Để đạt hiệu quả tốt nhất, bạn nên tham khảo ý kiến bác sĩ nha khoa để lựa chọn loại răng sứ phù hợp với tình trạng răng và nhu cầu cá nhân.

CÔNG TY TNHH NHA KHOA CỐNG QUỲNH
Địa chỉ: 256 Cống Quỳnh, Phường Bến Thành (Q1), TP.HCM
Email: nhakhoacongquynh@gmail.com
ĐT: +84 (028) 3925 7062
Hotline: +84 0908.848.424
Website: www.nhakhoacongquynh.com
Phòng Chăm Sóc Khách Hàng
Email: nhakhoacongquynh.cskh@gmail.com
ĐT: +84 0856.244.256