Thời gian hoạt động
-
Thứ 2 - Thứ 7: 08:00 - 19:30 | Chủ nhật: OFF
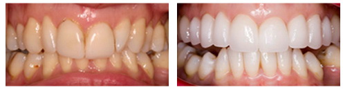
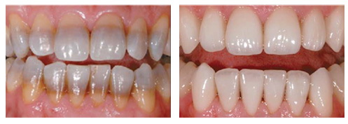
Mặt dán Veneer sứ (hay còn gọi là Laminate sứ) là một phương pháp phục hình thẩm mỹ hiện đại, được ứng dụng rộng rãi trong nha khoa. Kỹ thuật này sử dụng những lớp sứ siêu mỏng dán lên mặt ngoài của răng, giúp tái tạo hình dáng và màu sắc răng theo mong muốn. Veneer sứ là giải pháp tối ưu để khắc phục tình trạng răng xỉn màu, thưa, sứt mẻ hoặc vỡ, mang lại nụ cười tự tin và thẩm mỹ cao.
Veneer sứ phù hợp trong các trường hợp sau:
Răng thưa, nhỏ, có kẽ hở làm nụ cười kém duyên.
Răng nhiễm màu, ố vàng mà tẩy trắng không hiệu quả.
Răng khấp khểnh nhẹ, lệch lạc do mọc răng (không phải do xương hàm).
Răng có hình dạng không đều, sứt mẻ, răng cửa bên hình chêm.
Răng bị mòn men cạnh cắn, thiểu sản men, nhiễm màu fluor hoặc sậm màu do thuốc kháng sinh.

Do Veneer sứ rất mỏng và cần men răng thật để đảm bảo độ bám dính, không phải ai cũng phù hợp với phương pháp này. Những trường hợp không nên áp dụng gồm:
Răng mọc lệch nhiều hoặc sai khớp cắn nặng (cần chỉnh nha thay vì Veneer).
Răng bị nha chu, viêm nướu, lung lay không thể hồi phục.
Răng sâu lớn, viêm tủy hoặc răng đã chết tủy.
Kỹ thuật Veneer sứ đòi hỏi bác sĩ có tay nghề cao cùng trang thiết bị hiện đại. Dù chỉ dán một lớp sứ mỏng như móng tay lên mặt ngoài răng, nhưng vẫn phải đảm bảo độ bền, độ lưu giữ và tính thẩm mỹ tối đa.
Quy trình thường diễn ra trong 2–3 lần hẹn, kéo dài từ 3–7 ngày tùy trường hợp. Sau khi hoàn tất, bác sĩ sẽ hướng dẫn vệ sinh răng miệng và chăm sóc răng Veneer đúng cách. Khách hàng nên tái khám định kỳ mỗi 6 tháng – 1 năm để kiểm tra và duy trì kết quả lâu dài.
Tại Nha Khoa Cống Quỳnh, dịch vụ mặt dán Veneer sứ được thực hiện bởi đội ngũ bác sĩ chuyên môn cao, trong đó có Bác sĩ CK2 Ngô Vĩnh Phúc, đảm bảo quy trình chuẩn y khoa, an toàn và thẩm mỹ vượt trội. Đây là lựa chọn lý tưởng cho những ai mong muốn sở hữu nụ cười trắng sáng, tự nhiên và bền đẹp theo thời gian.








CÔNG TY TNHH NHA KHOA CỐNG QUỲNH
Địa chỉ: 256 Cống Quỳnh, Phường Bến Thành (Q1), TP.HCM
Email: nhakhoacongquynh@gmail.com
ĐT: +84 (028) 3925 7062
Hotline: +84 0908.848.424
Website: www.nhakhoacongquynh.com
Phòng Chăm Sóc Khách Hàng
Email: nhakhoacongquynh.cskh@gmail.com
ĐT: +84 0856.244.256