Thời gian hoạt động
-
Thứ 2 - Thứ 7: 08:00 - 19:30 | Chủ nhật: OFF
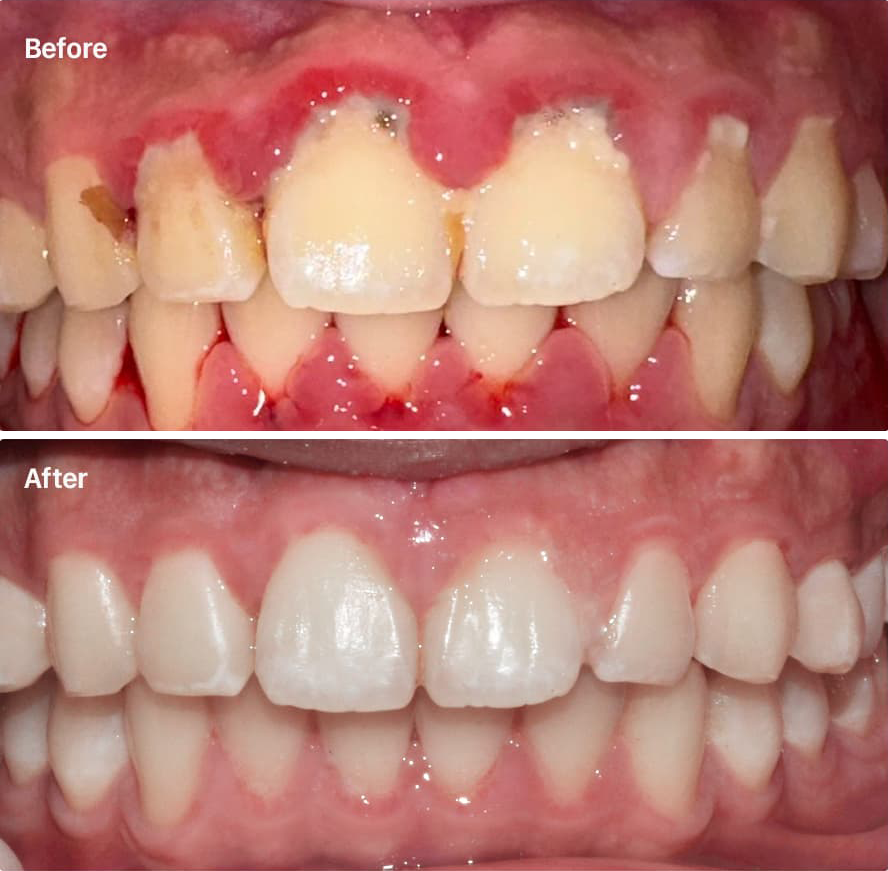
Viêm nha chu là bệnh lý răng miệng nguy hiểm nhưng thường bị xem nhẹ. Nếu không điều trị kịp thời, bệnh có thể gây tụt nướu, tiêu xương và mất răng vĩnh viễn. Bài viết dưới đây giúp bạn hiểu rõ về viêm nha chu và tầm quan trọng của việc điều trị đúng cách để bảo vệ răng lâu dài.
Viêm Nha Chu Là Gì?
Viêm nha chu là tình trạng viêm nhiễm các mô nâng đỡ răng, bao gồm nướu, dây chằng nha chu và xương ổ răng. Bệnh thường phát triển từ viêm nướu không được điều trị triệt để, khiến vi khuẩn tích tụ ngày càng sâu dưới nướu, phá hủy cấu trúc nâng đỡ răng.
Khác với viêm nướu thông thường, viêm nha chu không thể tự khỏi và có xu hướng tiến triển âm thầm. Khi bệnh bước sang giai đoạn nặng, răng có thể lung lay và mất răng là điều khó tránh khỏi.

Dấu Hiệu Nhận Biết Viêm Nha Chu Sớm
Việc nhận biết sớm các dấu hiệu viêm nha chu giúp quá trình điều trị đạt hiệu quả cao hơn và tiết kiệm chi phí. Một số triệu chứng thường gặp bao gồm:
- Nướu sưng đỏ, dễ chảy máu khi đánh răng hoặc ăn nhai
- Hơi thở có mùi hôi kéo dài
- Nướu tụt dần, chân răng lộ rõ
- Xuất hiện mủ quanh răng
- Răng có cảm giác lung lay hoặc đau khi cắn
Nếu những biểu hiện này kéo dài, người bệnh cần thăm khám sớm để tránh biến chứng nghiêm trọng.
Nguyên Nhân Gây Viêm Nha Chu
Nguyên nhân chính gây viêm nha chu là mảng bám và cao răng tích tụ lâu ngày không được làm sạch. Ngoài ra, bệnh còn chịu ảnh hưởng bởi nhiều yếu tố khác như:
- Vệ sinh răng miệng kém hoặc sai cách
- Hút thuốc lá thường xuyên
- Rối loạn nội tiết, đặc biệt ở phụ nữ mang thai
- Các bệnh toàn thân như tiểu đường
- Stress kéo dài làm suy giảm miễn dịch
Những yếu tố này tạo điều kiện cho vi khuẩn phát triển mạnh, tấn công mô nha chu và xương ổ răng.
Điều Trị Viêm Nha Chu Quan Trọng Như Thế Nào?
Điều trị viêm nha chu không chỉ giúp giảm viêm, hết chảy máu nướu mà còn đóng vai trò quyết định trong việc giữ răng lâu dài. Nếu không điều trị, vi khuẩn sẽ tiếp tục phá hủy xương ổ răng, khiến răng không còn điểm tựa và buộc phải nhổ bỏ.
Việc điều trị đúng thời điểm giúp:
- Ngăn chặn tiến triển của bệnh
- Bảo tồn răng thật tối đa
- Cải thiện hơi thở và thẩm mỹ nụ cười
- Bảo vệ sức khỏe toàn thân
Các Phương Pháp Điều Trị Viêm Nha Chu Hiện Nay
Tùy vào mức độ bệnh, bác sĩ sẽ chỉ định phương pháp điều trị phù hợp.
Điều trị không phẫu thuật
Áp dụng cho giai đoạn nhẹ và trung bình, bao gồm:
Điều trị chuyên sâu
Với trường hợp viêm nha chu nặng, có tiêu xương nhiều:
Tại Nha Khoa Cống Quỳnh, quá trình điều trị viêm nha chu được thực hiện bài bản, tập trung kiểm soát vi khuẩn và bảo tồn răng thật, giúp khách hàng yên tâm điều trị lâu dài.
Chăm Sóc Sau Điều Trị Để Ngăn Ngừa Tái Phát
Viêm nha chu là bệnh mãn tính, do đó việc chăm sóc sau điều trị đóng vai trò rất quan trọng:
- Đánh răng đúng cách ít nhất 2 lần mỗi ngày
- Sử dụng chỉ nha khoa và nước súc miệng phù hợp
- Hạn chế thuốc lá và đồ ngọt
- Tái khám định kỳ theo hướng dẫn của bác sĩ
Việc duy trì thói quen chăm sóc răng miệng khoa học giúp nướu khỏe mạnh và ngăn bệnh tái phát hiệu quả.

Điều trị viêm nha chu là giải pháp thiết yếu để giữ nướu khỏe mạnh và bảo vệ răng lâu dài. Phát hiện sớm, điều trị đúng phương pháp và chăm sóc răng miệng khoa học chính là chìa khóa giúp bạn duy trì nụ cười khỏe đẹp theo thời gian. Đừng chủ quan với những dấu hiệu nhỏ ở nướu, bởi hành động sớm hôm nay sẽ giúp bạn tránh được nguy cơ mất răng trong tương lai.

CÔNG TY TNHH NHA KHOA CỐNG QUỲNH
Địa chỉ: 256 Cống Quỳnh, Phường Bến Thành (Q1), TP.HCM
Email: nhakhoacongquynh@gmail.com
ĐT: +84 (028) 3925 7062
Hotline: +84 0908.848.424
Website: www.nhakhoacongquynh.com
Phòng Chăm Sóc Khách Hàng
Email: nhakhoacongquynh.cskh@gmail.com
ĐT: +84 0856.244.256