Thời gian hoạt động
-
Thứ 2 - Thứ 7: 08:00 - 19:30 | Chủ nhật: OFF
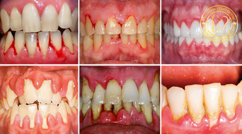
Nha chu là bệnh lý viêm nhiễm ảnh hưởng đến mô nâng đỡ răng, bao gồm nướu, dây chằng nha chu và xương ổ răng. Bệnh tiến triển âm thầm nhưng có thể gây lung lay răng, thậm chí mất răng nếu không được điều trị kịp thời.
Nguyên nhân chính là mảng bám vi khuẩn tích tụ lâu ngày trên răng và dưới nướu. Một số yếu tố làm tăng nguy cơ gồm:
Vệ sinh răng miệng kém
Hút thuốc
Thay đổi nội tiết (mang thai, dậy thì)
Stress kéo dài
Bệnh lý nền như tiểu đường
Răng khấp khểnh khó vệ sinh

Bạn có thể nghi ngờ mình mắc bệnh nha chu nếu có các biểu hiện sau:
Nướu sưng đỏ, dễ chảy máu khi chải răng
Hơi thở có mùi
Nướu tụt, thân răng lộ dài hơn
Răng lung lay, cảm giác không chắc
Có mủ quanh nướu hoặc khe răng
Ê buốt khi ăn uống

Có. Nha chu không chỉ làm mất răng mà còn gây ảnh hưởng toàn thân:
Tăng nguy cơ bệnh tim mạch
Ảnh hưởng kiểm soát đường huyết ở người tiểu đường
Tăng nguy cơ sinh non ở phụ nữ mang thai
Gây viêm nhiễm lan rộng nếu không được điều trị

Không. Nha chu không thể tự khỏi, và càng để lâu bệnh càng nặng. Chỉ có điều trị chuyên sâu tại nha khoa mới loại bỏ được vi khuẩn và mảng bám dưới nướu.
Có thể kiểm soát và điều trị hiệu quả nếu:
Khám và làm sạch sâu đúng kỹ thuật
Kiên trì điều trị theo phác đồ
Duy trì vệ sinh răng miệng tốt
Tái khám định kỳ để ngăn tái phát
Tùy mức độ bệnh, bác sĩ có thể chỉ định:
Cạo vôi răng – làm sạch mảng bám
Điều trị viêm nướu
Scaling & Root Planing (làm sạch sâu túi nha chu)
Tiêm kháng viêm tại chỗ
Phẫu thuật nha chu, ghép nướu, ghép xương (nặng)
Duy trì định kỳ sau điều trị
Việc làm sạch sâu và can thiệp nha chu được gây tê cục bộ, nên cảm giác rất nhẹ nhàng. Sau điều trị có thể hơi ê 1–2 ngày và sẽ giảm nhanh.
Bạn nên thăm khám định kỳ 3–6 tháng/lần. Người đã từng bị nha chu hoặc hút thuốc nên đi kiểm tra 3 tháng/lần để ngăn tái phát.
Chải răng 2 lần/ngày bằng bàn chải lông mềm
Dùng chỉ nha khoa hoặc tăm nước mỗi ngày
Cạo vôi răng định kỳ 3–6 tháng/lần
Hạn chế hút thuốc
Giữ chế độ ăn ít đường, bổ sung vitamin C
Khám răng định kỳ để phát hiện sớm

CÔNG TY TNHH NHA KHOA CỐNG QUỲNH
Địa chỉ: 256 Cống Quỳnh, Phường Bến Thành (Q1), TP.HCM
Email: nhakhoacongquynh@gmail.com
ĐT: +84 (028) 3925 7062
Hotline: +84 0908.848.424
Website: www.nhakhoacongquynh.com
Phòng Chăm Sóc Khách Hàng
Email: nhakhoacongquynh.cskh@gmail.com
ĐT: +84 0856.244.256